Implantologia
Reabilitação através de implantes, em titânio, tolerados pelo organismo. Exercem
a função de raiz do dente, inseridos diretamente no osso do maxilar
e ou mandíbula.
Cirurgia Oral
Prevenção, diagnóstico e tratamento de alterações, lesões e patologias
da cavidade oral (extrações simples ou de dentes inclusos, tratamento de infeções,
remoção de quistos…).
Periodontologia
Diagnóstico e tratamento de doenças do periodonto, responsável
por manter a firmeza dos dentes nos maxilares (tratamento da gengivite, da periodontite,…)
Endodontia
A Endodontia é a especialidade da Medicina Dentária dirigida ao tratamento
de patologias da polpa ou nervo (vulgarmente designada por desvitalização).
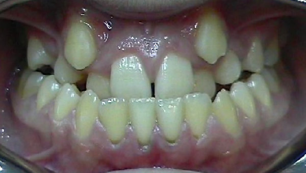
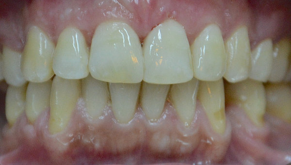
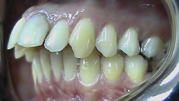
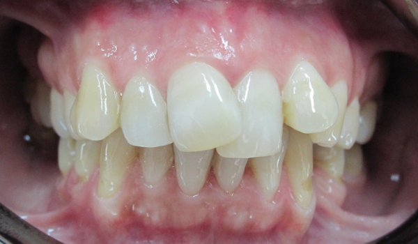
Ortodontia
Área especializada no diagnóstico,
prevenção e tratamento de alterações dentárias (mau posicionamento) e
esqueléticas (crescimento ou posicionamento incorreto dos maxilares).
Odontopediatria
A Odontopediatria é a especialidade da Medicina Dentária exclusivamente
dedicada à manutenção da saúde oral de crianças, adolescentes e pacientes com necessidades
especiais.
Higiene Oral
Especialidade dirigida ao diagnóstico, prevenção
e terapêutica de doenças orais tendo um papel determinante na manutenção dos tratamentos
efetuados nas outras especialidades.
Periodontologia
Dirigida
à prevenção, diagnóstico e tratamento das doenças que afetam o periodonto,
responsável por manter a firmeza dos dentes nos maxilares.